Nos modèles in vivo
SKINAXIS propose une large gamme de modèles animaux validés et reconnus en Dermatologie préclinique. Découvrez notre offre de services par catégorie pour tester vos candidats médicaments et dispositifs médicaux.
Découvrez nos plateformes dédiées au support de vos études
Notre équipe, spécialiste en dermatologie, réalise vos études précliniques d’efficacité dans un environnement assurant robustesse, qualité et répétabilité des résultats.
SKINAXIS intègre des technologies de pointe pour la recherche translationnelle
High-Content Imaging
Microfluidique et cerveaux-sur-puce
Animaleries petits et gros animaux
Imagerie médicale préclinique
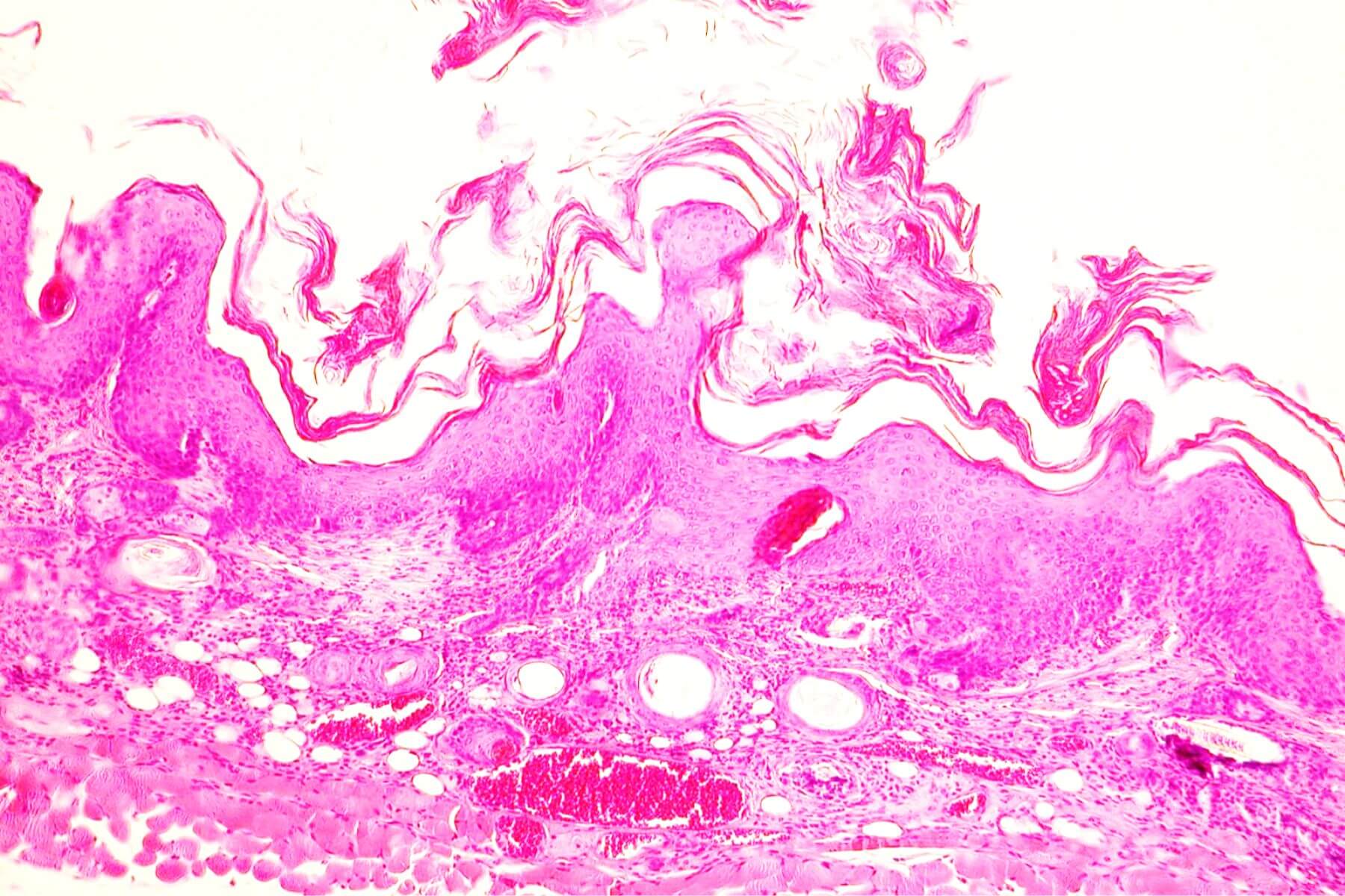
Immunohistochimie, immunofluorescence et histologie
Immunodosage
Ressources scientifiques
Désolé, aucune ressource disponible dans cette langue pour le moment. Ne manquez pas nos Publications, Posters et Notes Techniques dans la page Ressources anglaise.
Vous pouvez consulter les ressources scientifiques anglaises ici.
Accélérer et sécuriser votre pipeline, avec des services précliniques premium.
SKINAXIS réalise pour vous des études précliniques d’efficacité et d’innocuité dédiées à la dermatologie, alliant les standards industriels d’une CRO à l’expertise scientifique d’un laboratoire de recherche. Nous proposons une gamme complète de services in vivo, du standard au sur-mesure : POC, tolérance cutanée, PK/PD, recherche de biomarqueurs, pour répondre à vos besoins spécifiques. Nous avons 4 domaines d’expertise pour soutenir vos développements : les pathologies inflammatoires cutanées (Psoriasis, Dermatite Atopique, Eczéma…), la cicatrisation (plaies aiguës et chroniques), la greffe cutanée (substituts de peau, organoïdes, biomimétiques…) ainsi que la toxicité dermique (aiguë, subchronique et chronique).
NOS MARQUES
SKINAXIS
Fondée il y a 35 ans avec une expertise reconnue en neurologie, ETAP-LAB a progressivement élargie ses activités à d’autres aires thérapeutiques. SKINAXIS est le nom que nous avons choisi pour incarner et promouvoir cette expertise historique en dermatologie depuis plus de 20 ans.

UN ENJEU DE SOCIÉTÉ
SKINAXIS contribue au développement des thérapies de demain
La découverte de traitements contre des pathologies dermatologiques chroniques, par exemple le Psoriasis ou la Dermatite Atopique, reste un enjeu de santé publique. L’industrie pharmaceutique investit et se mobilise pour découvrir et développer de nouvelles et thérapeutiques visant à soigner ou ralentir ces maladies inflammatoires.
D’autres affections médicales moins fréquentes mais aux conséquences graves, comme le traitement des grands brûlés ou certaines maladies génétiques, font aussi l’objet d’une recherche constante, notamment dans le domaine de la régénération tissulaire.
L’équipe de SKINAXIS œuvre au quotidien pour vous accompagner dans le développement de votre candidat médicament ou dispositif médical et vous fournir des services à la hauteur de vos enjeux !
