Our in vivo models
SKINAXIS offers a wide range of validated and recognized animal models for preclinical dermatology. Explore our range of services by category to test your drug and medical device candidates.
Discover our platforms dedicated to supporting your studies
Our team of experts conducts your preclinical efficacy studies in a state-of-the-art environment to ensure robust, high-quality, and repeatable results.
SKINAXIS integrates cutting‑edge technologies for translational research
High-Content Imaging
Brain‑on‑Chip platform
Small and Large Animal Facilities
Preclinical Medical Imaging
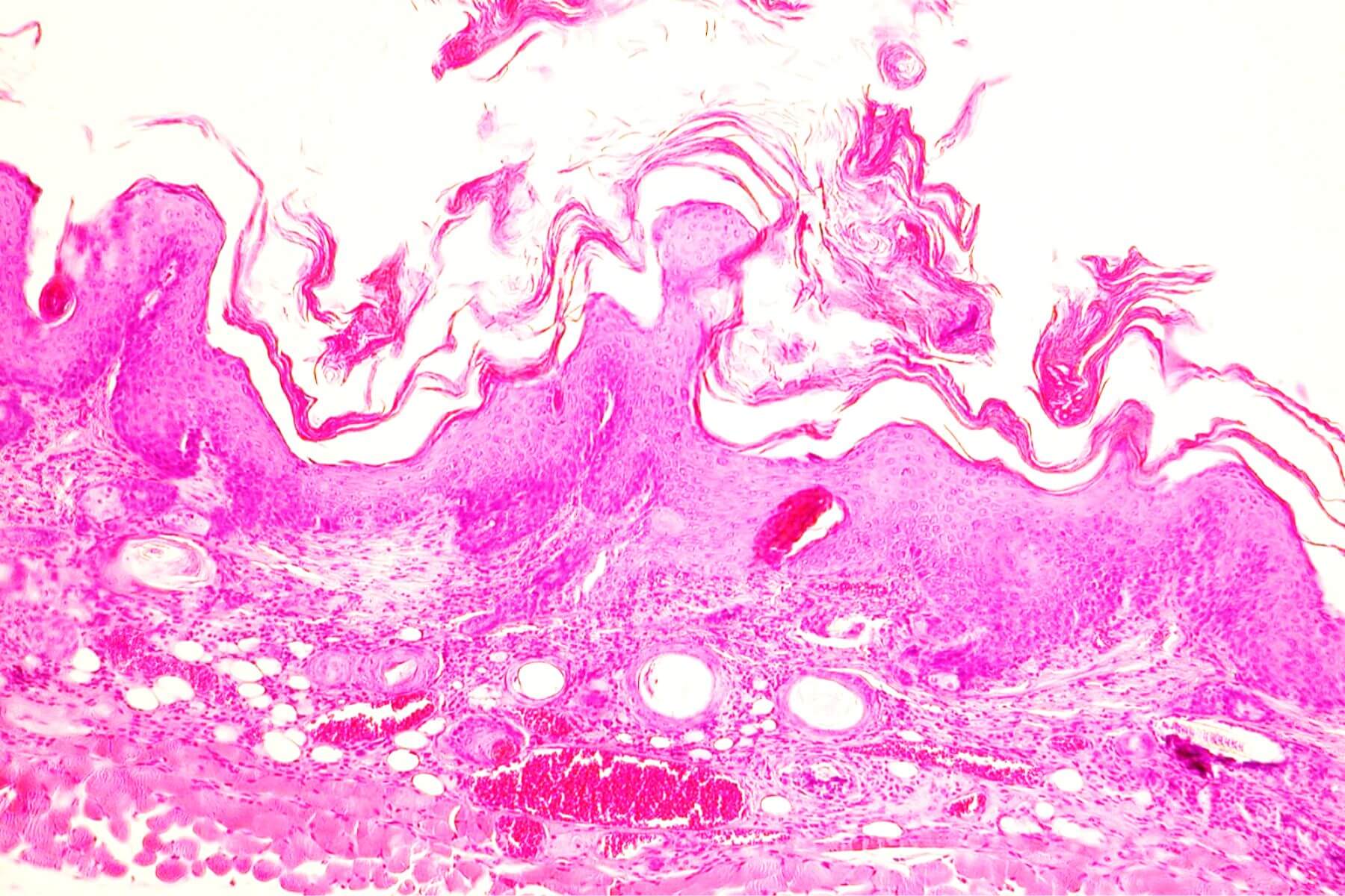
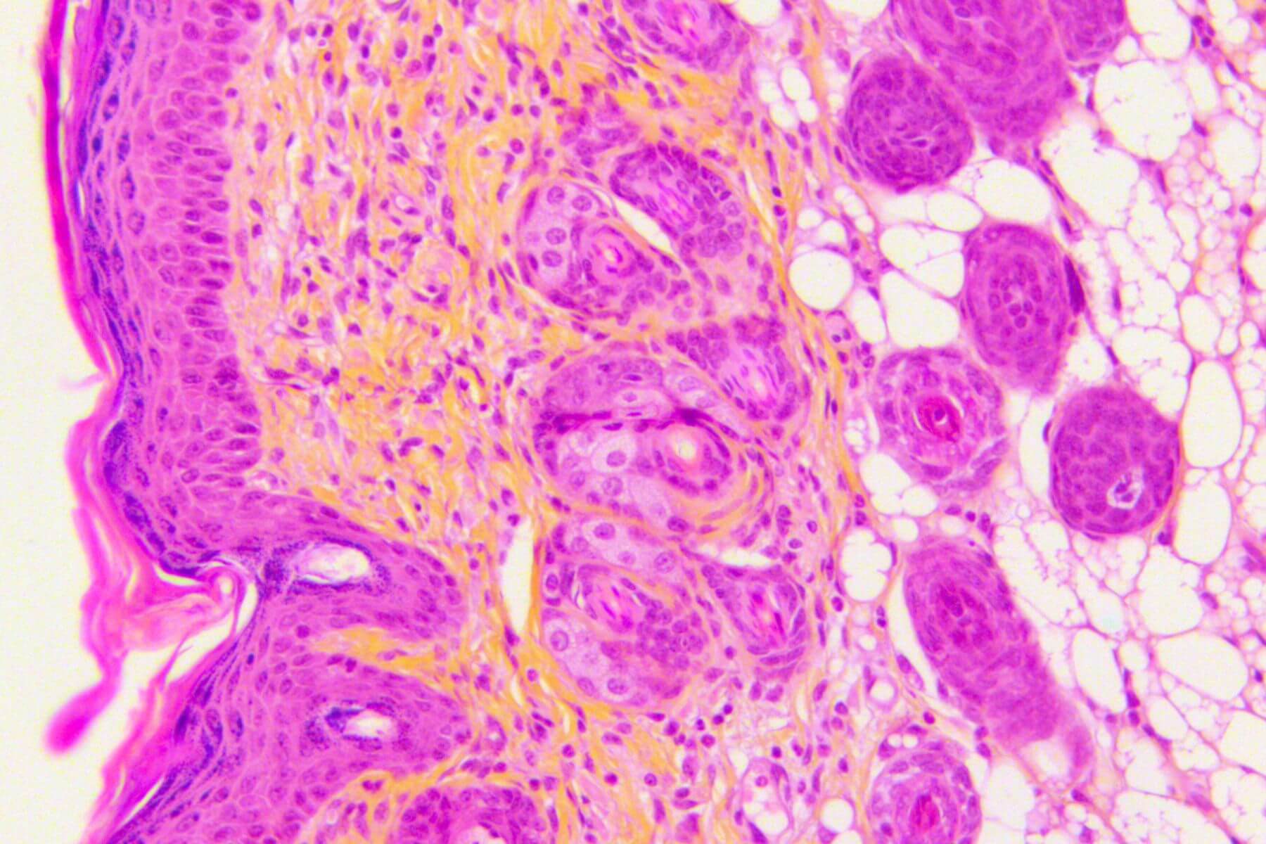
Immunohistochemistry, Immunofluorescence, and Histology
Immunoassays
Scientific resources
Publication: “Animal-origin-free method for generating blood vessel organoids”
POSTER: “Pro-healing effects of Plasana One®, an argon-generated cold plasma on ischemic skin wounds”
POSTER: Behavioural assessment as a tool for evaluation of efficacy therapies on skin diseases
A New Moisturiser Improves DNCB-induced Atopic Dermatitis-like Symptoms and Restores Skin Barrier Function in BALB/c Mice
Newsletter #10 – New preclinical model of pruritus and update to our other atopic dermatitis models
Newsletter #8: The ETAP-Lab Psoriasis Model
Model of atopic dermatitis in mice: feedback – Newsletter #6
Lactobacillus salivarius LA307 and Lactobacillus rhamnosus LA305 attenuate skin inflammation in mice
Oral and Topical Administration of ROQUETTE Schizochytrium sp. Alleviate Skin Inflammation and Improve Wound Healing in Mice.
Accelerate and secure your pipeline with premium preclinical services.
SKINAXIS conducts preclinical efficacy and safety studies dedicated to dermatology, combining CRO‑level industrial standards with the scientific expertise of a research laboratory. We offer a complete range of in vivo services, from standard to customized studies: POC, skin tolerance, PK/PD, biomarker discovery, to meet your specific needs.
We have four areas of expertise to support the development of your drugs and medical devices: inflammatory skin diseases (Psoriasis, Atopic Dermatitis, Eczema…), wound healing (acute and chronic wounds), skin grafting (skin substitutes, organoids, biomimetic constructs…), and dermal toxicity (acute, sub‑chronic, and chronic).
OUR BRANDS
SKINAXIS
Founded 35 years ago with recognized expertise in neurology, ETAP‑LAB has progressively expanded into additional therapeutic areas. SKINAXIS is the brand we chose to embody and promote our historical dermatology expertise for more than 20 years.

A SOCIETAL CHALLENGE
SKINAXIS contributes to the development of tomorrow’s therapies.
Finding treatments for chronic dermatological diseases — such as Psoriasis or Atopic Dermatitis — remains a major public health challenge. The pharmaceutical industry invests heavily in discovering and developing new therapeutic solutions to treat or slow the progression of these inflammatory diseases.
Other medical conditions, less frequent but severe — such as treatments for major burns or certain genetic diseases — also require ongoing research, especially in the field of tissue regeneration.
The SKINAXIS team works daily to support the development of your drug candidate or medical device and provide services that match your ambitions!
